关于东纳 About us
联系我们
  • 客服服务电话:0755-2801 8888
  • 商业服务电话:18800000001
  • 技术服务电话:18800000001
  • 在线服务QQ:000000000
  • 服务邮箱:service@.com.cn
  • 网站:www.niumowang.com
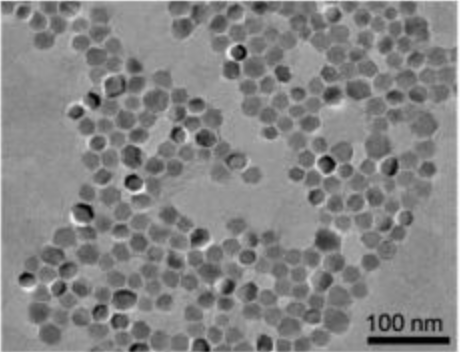
近日,在国家重大科学研究计划以及国家重点研发计划的持续支持下,历时近五年的研究、论证和评审,由东南大学生物科学与医学工程学院研究人员牵头研制并起草的国家标准《纳米技术 氧化铁纳米颗粒类过氧化物酶活性测量方法》(GB/T 37966-2019)通过全国纳米技术标准化技术委员会组织的终审,并获得国家市场监督管理总局、中国国家标准化管理委员会批准发布实施。该标准规定了氧化铁纳米颗粒类过氧化物酶活性的测量方法,适用于采用分光光度计对氧化铁纳米颗粒类过氧化物酶活性进行测量和评价。标准文件规定了其适用范围、规范性引用文件、术语和缩略语、原理、仪器与试剂、溶液配制、测量步骤、测量结果处理以及报告要求,并且提供了附录A(资料性附录)仪器准备、附录B(资料性附录)氧化铁纳米颗粒铁元素质量浓度测量、附录C(资料性附录)氧化铁纳米颗粒类过氧化物酶活性计算及不确定度评定实例以及参考文献。该标准可作为其他种类纳米颗粒类过氧化物酶活性测量的参考,对规范生物医学应用中纳米颗粒类酶活性的科学计量方法,突破生物医学应用转化的瓶颈具有极为重要的价值。如图1所示,本标准采用3,3',5,5'-四甲基联苯胺(TMB)作为测量底物,在37 ℃和酸性条件(pH=3.6)下经氧化铁纳米颗粒的催化,TMB被H2O2氧化为蓝色的TMB衍生物,该衍生物在650 nm波长下有特征吸收峰。在37 ℃、650 nm波长下检...
发布时间: 2019 - 12 - 11
浏览次数:269
2019年11月29日,由中共徐州高新技术产业开发区工作委员会、徐州高新技术产业开发区管理委员会主办的“2019淮海生物医药产业发展峰会”在江苏省徐州高新区举办。本次峰会围绕“健康、创新、绿色、共享”发展理念,以“致力创新引领,守护生命健康”为主题,共同探讨生物医药、医疗器械及精准医学领域的科技创新与产业发展,共谋新时代中国生命健康事业发展大计。值此大会期间,江苏省生物医学工程学会体外诊断技术专委会成立大会暨纳米医学与智能医疗器械分论坛隆重举行。会议由徐州淮海生命科技产业技术研究院、江苏省生物医学工程学会、东南大学生物科学与医学工程学院、南京东纳生物科技有限公司组织,以期共同促进产学研医管的协同创新与融合发展,推动纳米医学的应用转化以及医疗器械行业的进步。体外诊断技术专委会成立大会首先由东南大学生物科学与医学工程学院张宇教授主持,并请江苏省生物医学工程学会理事长钱志余教授致辞。然后由江苏省生物医学工程学会吕华秘书长主持选举环节,其间张宇教授介绍了专委会成立背景与筹备过程,还聘请了东南大学生物电子学国家重点实验室主任陆祖宏教授与中国药科大学工学院院长顾月清教授为专委会荣誉主任委员。江苏省生物医学工程学会姜宗义监事长最后宣读了专委会选举结果,东南大学张宇教授当选主任委员,江苏省医疗器械检验所龚声瑾所长、南京大学徐静娟教授、南京医科大学第二附属医院朱叶飞教授、南京医科大学附属南京第一医院...
发布时间: 2019 - 12 - 04
浏览次数:562
主要内容主要内容肿瘤磁感应热疗作为新型绿色肿瘤治疗方法,主要利用磁性纳米颗粒的尼尔弛豫 (Néel Relaxation) 和布朗弛豫 (Brownian Relaxation) 等效应,在外加交变磁场的作用下产热,使肿瘤组织快速达到一定的温度而杀灭或诱导肿瘤细胞凋亡,并且磁场穿透深度强,副作用小,更适合深部肿瘤组织治疗与临床转化。一般来说,肿瘤磁感应热疗主要有两个温度窗口。肿瘤组织温度在 50 度以上的磁感应热消融治疗可以非常有效,快速地清除肿瘤,但也容易对周围正常组织造成损伤;  40-45 °C 左右的低温范围可以诱导癌细胞死亡而没有正常细胞受损,但肿瘤细胞会产生对热应激的抵抗力,使得治疗效果大大折扣。因此,探索新的治疗策略具有重要意义。为了克服 42 °C 温和磁感应热疗中肿瘤细胞对热应激的耐受性问题,近日东南大学生物科学与医学工程学院的生物医学纳米技术研究团队在ACS Nano发表“Enhanced Tumor Synergistic Therapy by InjectableMagnetic Hydrogel Mediated Generation of Hyperthermia and Highly Toxic ReactiveOxygen...
发布时间: 2019 - 11 - 11
浏览次数:472
纳米医学已经被用于各种癌症治疗,包括肿瘤靶向药物传递、热疗以及光动力治疗。PLGA材料是一种常用的纳米药物载体。在《PLGA-b-PEG纳米载药平台系列介绍之一:PLGA-b-PEG共聚物的起源,合成及物化性能》中,主要介绍了PLGA及PLGA-b-PEG共聚物的合成及物化性能,制备PLGA-b-PEG纳米载体的常用方法以及PLGA纳米载体及PLGA-b-PEG纳米载体的优缺点。本篇将对PLGA及PLGA-b-PEG纳米载体在癌症治疗中的应用作进一步介绍。首先介绍肿瘤靶向药物治疗的几种靶向形式(被动靶向、主动靶向、磁靶向),然后介绍PLGA及PLGA-b-PEG纳米载药系统在磁热疗、光动力和光热治疗、基因治疗中所体现出来的优势。药物靶向治疗通常来说,癌症治疗将涉及到系统性地全身给药或者是口服吸收给药,这两种方式都会因为肿瘤外药物累积对健康组织造成损害,产生严重的副作用。非靶向累积的副作用限制了可给药物的剂量,并不能达到很好的治疗效果,而肿瘤靶向治疗的研究正是为了克服这一限制而产生的新策略。被动靶向治疗肿瘤聚集纳米载体首先是通过实体瘤的高通透性和滞留效应(ERP)效应。正常组织中的微血管内皮间隙致密、结构完整,大分子和脂质颗粒不易透过血管壁,而实体瘤组织中血管丰富、血管壁间隙较宽、结构完整性差,淋巴回流缺失,造成大分子类物质和脂质颗粒具有选择性高通透性和滞留性,这种现象被称作肿瘤增强...
发布时间: 2019 - 10 - 09
浏览次数:1335
电话:025-83475811   
手机:17314456709 QQ:1276827079  
Copyright ©2017   南京东纳生物科技有限公司
地址:南京市江宁区龙眠大道568号生命科技小镇5号楼
犀牛云提供云计算服务
X
3

SKYPE 设置

4

阿里旺旺设置

5

电话号码管理

  • 025-83475811 17314456709
6

二维码管理

展开