产品应用案例│RGD修饰的外泌体用于增强靶向、协同促进血管新生治疗
血管再成是由已存在的血管以生芽的方式形成新的血管的过程。目前,纳米颗粒已被应用于介导促生血管,然而,纳米材料的制备通常涉及复杂的合成步骤,且会引起排异反应。因此,内源性纳米材料,如细胞自身的外泌体,因其良好的生物相容性和小体积,特异性靶向能力可应用于促进血管生成。
分离外泌体常用的超速离心法具有耗时长、回收率低、纯度低等缺点。微流控技术的发展可以更高效地获得纳米尺度的外泌体,但同时也需要更复杂的操作。在本篇工作中,作者提出了一种供体细胞辅助膜修饰赋予外泌体靶向能力,并利用具有磁性及拓扑结构的仿生纳米粒子对外泌体进行高效分离的方案(图1,工作发表在Nanoscale,IF 7.79)。首先,通过RGD直接对供体细胞膜进行修饰,外泌体直接由质膜出芽形成;再利用吞噬磁性纳米粒子(柠檬酸钠表面修饰,购自东纳生物)的巨噬细胞为“活模板”获得具有磁性及拓扑结构的仿生颗粒,对形成的外泌体进行捕捉;最后对收获的外泌体装载一个前体(Ac4ManNAz),采用可逆渗透,其传递的叠氮糖靶通过代谢结合到细胞表面的聚糖。

图1.(A) DSPE-PEG-RGD修饰供体细胞膜后,细胞源RGD修饰的外泌体在磁场中与仿生颗粒分离。(B)实验的总体策略示意图,基于具有促血管生成活性的工程外泌体,并通过点击化学的聚糖成像进行治疗性监测。
本文重点
(1) 利用仿生纳米粒子分离外泌体
首先选择巨噬细胞作为模板来获得拓扑结构仿生颗粒。巨噬细胞通过吞噬超顺磁性氧化铁纳米颗粒后显示磁性,进一步磁性巨噬细胞经硅烷化及煅烧处理后可获得具有磁性及拓扑结构仿生颗粒。将CD63抗体(外泌体标志蛋白质)通过含二硫键的链接剂琥珀酰亚胺-6-[3-(2-吡啶二硫代)丙酰胺]己酸酯(LC-SPDP)和生物素-链霉亲和素相互作用在拓扑结构仿生纳米颗粒表面进行修饰。外泌体可被磁性分离,并通过加入破坏二硫键的还原剂(二硫苏糖醇,DTT)将磁性仿生颗粒与其捕获的外泌体分离。

图2. “活模板”制备具有拓扑结构和磁性的粒子的策略示意图(A),巨噬细胞(B),吸收超顺磁氧化铁纳米粒子(SPIONs)巨噬细胞(C)及仿生粒子(D)的电镜图像。
(2)基于靶向外泌体的细胞选择性代谢聚糖成像
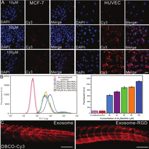
对靶向外泌体的细胞采用选择性代谢聚糖成像。非天然合成单糖衍生物(Ac4ManNAz)可以通过受体介导的方式选择性地传递到靶细胞中,在细胞表面人工生成了含有叠氮基团的非天然唾液酸。二苄基环辛烷(DBCO)修饰的荧光染料能与细胞表面外的非天然唾液酸通过无铜点击化学特异结合,形成聚糖成像。

图3. RGD-Ac4ManNAz外泌体靶向糖基的细胞选择性成像(A),对不同浓度RGD-Ac4ManNAz外泌体的平均荧光强度的荧光活化细胞分选分析(B),靶向RGD-Ac4ManNaz外泌体和非靶向RGD-Ac4ManNaz外泌体的斑马鱼成像。
(3)RGD-Ac4ManNAz外泌体在体外促进血管生成
将RGD-Ac4ManNAz外泌体与HUVECs(整合素αvβ3高表达细胞)孵育指定时间,采用MTT法检测细胞增殖。RGD-Ac4ManNAz外泌体显著诱导HUVECs的时间依赖性增殖,并在24小时后显著促进细胞增殖。这些结果证实了RGD-Ac4ManNAz外泌体促进血管内皮生长因子(VEGF)的分泌以及血管的形成。

图4. RGD-Ac4ManNAz外泌体促进HUVEC增殖的研究及RGD-Ac4ManNAz外泌体增强HUVECs血管内皮生长因子(VEGF)的分泌及RGD-Ac4ManNAz外泌体触发新生内皮血管的聚糖成像。
(4)以野生型斑马鱼胚胎为体内模型,探索了RGD-Ac4ManNAz外泌体的体内成像及血管再生活性
将RGD-Ac4ManNAz外泌体和RGD-FITC注射到斑马鱼胚胎中,通过荧光信号共定位来确定工程外泌体的靶向血管能力。FITC偶联的环状RGD多肽可用于检测整合素αvβ3的相对表达水平。RGD-Ac4ManNAz外泌体和FITC偶联的环状RGD多肽在血管中的共定位证明RGD-Ac4ManNAz外泌体能对血管中表达的整合素αvβ3有效靶向染色。这些结果表明,与体外数据一致,通过点击化学对活斑马鱼胚胎在血管生成期间产生的唾液酸化聚糖成像,这可以作为一种治疗监测剂,在血管生成的早期阶段检测促血管生成治疗反应。

图5.在斑马鱼中注射RGD-Ac4ManNAz外泌体和FITC-RGD,不同浓度RGD-Ac4ManNAz外泌体后荧光共定位,血管用碱性磷酸酶(AP)染色。
总结
外泌体可用于血管修复和再生,但在应用于临床治疗之前需要解决外泌体的有效富集及外泌体靶向性几个问题。在本研究中,采用具有拓扑结构的仿生磁性纳米粒子高效分离外泌体。通过将RGD肽修饰到外泌体膜表面,与新生血管表面的αvβ3整合素特异性结合。利用靶向代谢标记技术,通过点击化学方法检测和成像血管新生血管。探讨调控血管生成的聚糖的动态变化对确定治疗效果具有重要意义。此外,利用斑马鱼模型评估了工程外泌体在血管生成治疗和成像中的适用性。评估它们的治疗效果和聚糖成像在体外和体内应用都是可能的。因此,这些工程外泌体代表了一种新的治疗工具,用于促进血管生成治疗和治疗监测的聚糖成像,并可能作为一种新开发的“生物技术药物”,具有更高的疗效和靶向能力。
参考文献
[1] Wang J., Li W., Lu Z. C., et. al., The use of RGD-engineered exosomes for enhanced targeting ability and synergistic therapy toward angiogenesis, Nanoscale, 2017, 9, 15598-15605.
更多研究内容请关注网站http://www.nanoeast.net/新闻。Nanoeast是生物医用磁性微纳米材料的专业制造商,将为您提供多种纳米产品,助力纳米科技转化应用研究。
“助力科研创新,帮助客户成功”
南京东纳生物科技有限公司
地址:南京市龙眠大道568 号,南京生命科技小镇5号楼,电话:025-83475811
网址:www.nanoeast.net